At my dental school, we recommend silver fillings for the back teeth since silver fillings last longer than white fillings. However, many people are hesitant to get silver fillings because they stand out, and they don’t want other people to notice them.
If you are also wondering what the difference in appearance between white and silver fillings looks like, then this article is for you!
What a Silver Dental Filling Looks Like
In the picture below, you can see see four silver fillings. Two are on the left on the top of two teeth. Two silver fillings are also present on the right: one on the top of the tooth and one in the pit on the side of the tooth.

As you can see, silver fillings are noticeable. However, during your everyday routine, people aren’t likely to see your back teeth. Because of this, it is usually a good idea to get silver fillings on your back teeth because they are stronger and are more resistant to getting new cavities around them than the newer white fillings.
Another thing you may notice in the above picture is that this person’s lower front teeth are worn down. You can learn more about the four ways we wear down our teeth here.
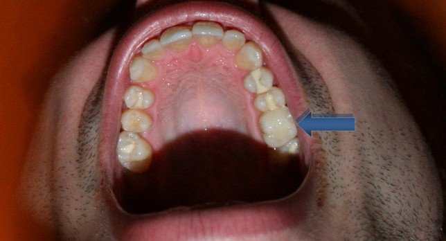
What a White Dental Filling Looks Like
White fillings are matched to your tooth’s color by your dentist. Thus they actually vary from white to gray to even yellowish shades.
As you can see below, the man has numerous white fillings on his back teeth (this is a view of his upper teeth from below). This picture is a good example of how picking the wrong shade of white can make a filling stand out even more. Some of the fillings are easy to see because they are not matched very well to the shade of the tooth.

I have the arrow pointing at one of the more inconspicuous white fillings where the shade of filling material more closely resembles the tooth’s natural shade. If you look closely you can see that in the middle of that tooth there is a big white filling.
Conclusion
As you can see, white fillings are definitely less noticeable than silver fillings. They can be more noticeable if their shade doesn’t exactly match the shade of your tooth.
At my dental school, we generally recommend white fillings in the front teeth and silver fillings in the back teeth. That way, you can have the strength of the silver fillings in the back of your mouth where there is a lot of force every time you chew, and the white fillings in the front teeth so that you have an aesthetically-pleasing smile.
If you have any questions or comments about white or silver fillings, go ahead and write them below in the comments section. Thanks for reading!
I just got 2 silver back teeth fillings (both very small) about a week ago. They are not sensitive until i chew small ice cubes. When i do it stops me in my tracks, painful. My dentist told me to wait 24 hours to eat ice so they are hard. Why might it be so sensitive and how can i fix it? It also feels like my teeth are “hairy” will that go away?
My Dentist told me to never chew ice cubes they can cause cracks to your teeth
hi I recently got quoted for three fillings that I need in my mouth…2 Resin-three surface post. (white filling) and 1 resin-two surface post. (white filling). The former costing $304 and the latter costing $246. The fillings are needed on tooth numbers 3,14, and 18. Do you think I could just do the silver fillings instead since I simply cannot afford this much money on even one tooth
I have a amalgam filling on #31 molar tooth,my new dentist said I have a new cavity,and she only does white fillings in her office. What to do? I also sent you another question about my new crown I had placed on my #30 molar tooth,If you would reply back? I sent it on the question line form today june 3oth 2012. Thanks..
I just got 6 re-fillings done on 9/24/12 my olds fillings were silver now that I did them over they look white but my dentist told me he put sliver in my mouth and how it will turn sliver. I just want to know if that is true…does sliver flillings look white when you now get them?
I have 3 cavities, all upper molars, and all in between two teeth, what will it look like?
Hi Sarah – The dentist will go down through the biting surface to get to the decay between the teeth and then put a filling in. If there’s no decay on the biting surface and the dentist is doing a white filling, it should be fairly small. Let me know if you have any other questions.
Hi tom i got 4 fillings done top bottom on both sides an they gave me white feeling an i been in pain every since 0ctober 27,2012 an i was in an out them file them down checkin my bites out,now they see a small hole in one top filling 5 th tooth from the front tooth and my gums in so much pain on right side when eatin hot or cold i had silver ones put in when little neva had a problem
hai… left side i have 1 cavity on tooth(biting surface) and i have right side another cavity on tooth( just starting) it looks like vertical black line on the tooth… pls tell me what is the remedy…..will u pls send me solution to my email…. thank u…….
A few days ago i got my two white fillings on my bottom teeth. Could you break your filling?
Hey Tom. I haven’t been to the dentist since I was little and I knew I had 2 cavities but never had them filled and they still don’t cause me a problem but I know that I have two new ones. I am going to the dentist to get them filled. They all are on my lower molars. My cavities look like little black dots. I was wondering how do I know I need a root canal done. None of them seem to be causing pain. But I want to take care of them now so no future problems occur I am now a teenager so are the ones as I had as a younger child be in need of a root canal?
I have to get 5 fillings and I’m not sure if i should get them all done in the same day.. Any ideas?
hey tom..i just got three fillings in my canines they are composite ones. i just wanna know how long are they gonna stay up there?
Hi! I just got a composite filling this morning, and the dentist seemed to be in a rush. After I was told I was good to go, I looked in the mirror and saw what looked like a couple small craters on one of my tooth that I assumed he worked on. Is this normal, or ok?
I’m about to get a filling and I’m a young child (not saying how old 4 safety) and my tooth is the very back one at the top wick is very sensitive and I haven’t even got the filling yet I’m worried I’m having laughing gas 4 mine I’m not gonna lie I’m scared I had 4 teeth pulled out when I was 5 and I wasn’t scared so why am I now
Why is dental treatment all so expensive? I’m so depressed with it all, now I have so much to be done (a years work) because of avoiding it for so long due to not being able to afford it. I’m grumpy
Thank you for sharing the visual differences between white and silver fillings. I especially appreciate your mention of filling back teeth with the longer-lasting silver fillings, and the front teeth with the more natural looking composite, or white fillings. That said, the decision to use white or silver fillings is one to be discussed with your dentist. Each person’s situation is different and requires individualized treatment. Thanks again for sharing!