Wednesday, November 12, 2025

Don't Miss

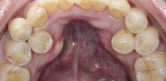
What Happens to Your Tooth After It’s Extracted

Have you ever wondered what happens to your tooth after it is extracted by your dentist?  Surprisingly, it's not so cut-and-dry. When a tooth is...

Lifestyle News

What Happens to Your Tooth After It’s Extracted

Have you ever wondered what happens to your tooth after it is extracted by your dentist?  Surprisingly, it's not so cut-and-dry. When a tooth is...

Can You Keep Your Extracted Teeth?

When I was in dental school, it was "against the rules" to give patients back their extracted teeth.  I never really questioned this rule...

HOUSE DESIGN

Tech and Gadgets

What Happens to Your Tooth After It’s Extracted

Have you ever wondered what happens to your tooth after it is extracted by your dentist?  Surprisingly, it's not so cut-and-dry. When a tooth is...

Stay Connected

16,985FansLike
2,458FollowersFollow
61,453SubscribersSubscribe

Make it modern

Latest Reviews

What Happens to Your Tooth After It’s Extracted

Have you ever wondered what happens to your tooth after it is extracted by your dentist?  Surprisingly, it's not so cut-and-dry. When a tooth is...

Performance Training

What Happens to Your Tooth After It’s Extracted

Have you ever wondered what happens to your tooth after it is extracted by your dentist?  Surprisingly, it's not so cut-and-dry. When a tooth is...

Can You Keep Your Extracted Teeth?

When I was in dental school, it was "against the rules" to give patients back their extracted teeth.  I never really questioned this rule...

Why This Dentist Gives Out Halloween Candy

While watching baseball's American League Championship Series last week, I saw a commercial for Verizon that shows a family out trick-or-treating. Upon looking at his...

60 Photos of Teenagers with Braces

Many teenagers wonder what they'll look like with braces, and what colors of rubber bands will look best with their hair color and facial...

Fluoride Supplement Dosage Chart

In the 1940's, water fluoridation officially started in the United States.  While it is believed that water fluoridation does reduce tooth decay, there are...

Holiday Recipes

Have you ever wondered what happens to your tooth after it is extracted by your dentist?  Surprisingly, it's not so cut-and-dry. When a tooth is...

WRC Racing

Health & Fitness

Architecture

LATEST ARTICLES

Most Popular

Recent Comments